Early Signs Of Liver Cancer Mayo Clinic : Fatty Liver Diet Plan Mayo Clinic / The primary treatment for nafld is a healthy diet and physical activity to manage diabetes and reduce body weight.
Dapatkan link
Facebook
X
Pinterest
Email
Aplikasi Lainnya
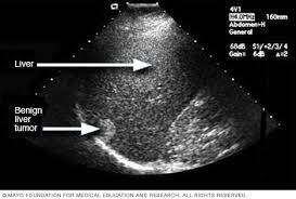
Early Signs Of Liver Cancer Mayo Clinic : Fatty Liver Diet Plan Mayo Clinic / The primary treatment for nafld is a healthy diet and physical activity to manage diabetes and reduce body weight.. In addition to general malaise, below are 11 symptoms of liver cancer: When signs and symptoms do appear, they may include losing weight without trying; Liver cancer stages range from stage i (1) through iv (4). Sometimes, activities provoke certain symptoms, such as shortness of breath while running, but other symptoms may come out of nowhere, such as sudden weight loss. This procedure involves the surgical removal of person's liver and its replacement with a healthy liver from a donor.
In this first video, physicians at mayo clinic in arizona, mitesh borad, m.d.,. You should call your doctor if you have liver disease and you notice signs of hepatic encephalopathy. Considering the nature of the disease it is very important to understand the symptoms of the stage 4 liver cancer, these are not only helpful to determine the course of treatment but also helps to stabilize the patient. Localized treatment options for liver cancer include: Diagnosing pancreatic cancer early enough for effective treatment can be challenging for a number of reasons:
Liver Cancer Glossary Global Liver Institute from images.squarespace-cdn.com Whether you or someone you love has cancer, knowing what to expect can help you cope. Yellowing of your skin and the whites of your eyes (jaundice) Symptoms may include constipation or diarrhea, bloating, feeling full quickly when you eat, back pain, shortness of breath, or chest pain. As a rule, the lower the number, the less the cancer has spread. Diagnosing pancreatic cancer early enough for effective treatment can be challenging for a number of reasons: Robert key, a family medicine physician for mayo clinic health system, there are seven signs and symptoms that deserve immediate medical attention: Signs and symptoms often appear once the tumour grows and causes changes in the body, such as blocking the bile ducts. The liver sits in the upper right part of the abdomen, which is where a lot of the pain will be concentrated.
Most people don't have signs and symptoms in the early stages of primary liver cancer.
In addition to general malaise, below are 11 symptoms of liver cancer: The liver is a large organ and can function normally even with a large tumour. About the size of a football, it's located mainly in the upper right portion of your abdomen, beneath the diaphragm and above your stomach. Pain in the abdomen or shoulder pain is a common symptom for those with liver cancer. Other professionals are included as needed. It is to be noted that the symptoms of the liver cancer generally becomes clear in the stage 4. Other health conditions, including scarring of the liver (called cirrhosis. Robert key, a family medicine physician for mayo clinic health system, there are seven signs and symptoms that deserve immediate medical attention: Signs and symptoms of ovarian cancer may include: Most people don't have signs and symptoms in the early stages of primary liver cancer. Liver cancer will be cured for the small number of people who are able to have a successful organ transplant. Diagnosing pancreatic cancer early enough for effective treatment can be challenging for a number of reasons: Whether you or someone you love has cancer, knowing what to expect can help you cope.
This procedure involves the surgical removal of person's liver and its replacement with a healthy liver from a donor. Signs and symptoms of ovarian cancer may include: When signs and symptoms do appear, they may include: There are many types of cancers that can form in the liver, such as intrahepatic cholangiocarcinoma and hepatoblastoma. The liver is your largest internal organ.
Liver Cancer Signs Symptoms And Complications from www.verywellhealth.com Robert key, a family medicine physician for mayo clinic health system, there are seven signs and symptoms that deserve immediate medical attention: Liver cancer is also resolved for about one in three people who have surgery to remove tumors or parts of the liver. One of the first signs of a liver problem is the lack of appetite. You should call your doctor if you have liver disease and you notice signs of hepatic encephalopathy. Liver cancer stages range from stage i (1) through iv (4). 20 signs that your liver is functioning badly located in the upper right portion of the abdomen, the liver is one of the body's vital organs. Any damage to the liver leads to accumulation of toxins in the body, which affect your appetite adversely. When signs and symptoms do appear, they may include:
According to the mayo clinic staff, other liver cancer symptoms include a yellow discoloration of the skin and the whites of your eyes (jaundice), white, chalky stools, general weakness, and fatigue.
The liver is your largest internal organ. Smoking is by far the most common cause of lung cancer. Liver cancer may not cause any signs or symptoms in its early stages. Other professionals are included as needed. Other health conditions, including scarring of the liver (called cirrhosis. See a doctor if you experience any symptoms or signs that worry you. About the size of a football, it's located mainly in the upper right portion of your abdomen, beneath the diaphragm and above your stomach. The most common liver cancer is hepatocellular carcinoma, as it forms in the main liver cell called the hepatocyte. The liver is a large organ and can function normally even with a large tumour. If the disease worsens, a liver transplant may be needed. People who smoke make up about 85 percent of lung cancer cases. If you go to your doctor when you first notice symptoms, your cancer might be diagnosed earlier, when treatment is most likely to be helpful. In addition to general malaise, below are 11 symptoms of liver cancer:
Symptoms signs and symptoms of cholangiocarcinoma include: Pancreatic cancer often doesn't cause any signs or symptoms in the early stages; Symptoms may include constipation or diarrhea, bloating, feeling full quickly when you eat, back pain, shortness of breath, or chest pain. Weight loss and lack of appetite. Liver cancer is a cancer that initiates in the cells of the organ and then spreads, according to mayo clinic.
Liver Cancer Types Symptoms And Diagnosis from post.healthline.com There are many types of cancers that can form in the liver, such as intrahepatic cholangiocarcinoma and hepatoblastoma. Symptoms of stage 4 liver cancer. It is to be noted that the symptoms of the liver cancer generally becomes clear in the stage 4. Typical symptoms, which usually appear only when the disease is advanced, include a persistent cough, shortness of breath, chest pain, coughing up blood and hoarseness. One of the first signs of a liver problem is the lack of appetite. Liver cancer may not cause any signs or symptoms in its early stages. The pancreas is located deep in the abdomen, between the stomach and the spine. The liver sits in the upper right part of the abdomen, which is where a lot of the pain will be concentrated.
Liver cancer stages range from stage i (1) through iv (4).
If the disease worsens, a liver transplant may be needed. In addition to general malaise, below are 11 symptoms of liver cancer: Weight loss and lack of appetite. Some of the most common symptoms of liver cancer are: When symptoms develop, they are often nonspecific. Whether you or someone you love has cancer, knowing what to expect can help you cope. The most common liver cancer is hepatocellular carcinoma, as it forms in the main liver cell called the hepatocyte. Pediatric experts provide care for children with liver cancer. One of the first signs of a liver problem is the lack of appetite. See a doctor if you experience any symptoms or signs that worry you. Considering the nature of the disease it is very important to understand the symptoms of the stage 4 liver cancer, these are not only helpful to determine the course of treatment but also helps to stabilize the patient. Other professionals are included as needed. Other health conditions, including scarring of the liver (called cirrhosis.
6 obat gatal alami (tradisional) yang bisa dicoba 1. Usg 3d dapat mendeteksi kelainan pada janin, struktur organ yang bermasalah, dan kelainan lainnya. Usg 3d hasil dari gambar usg 3d menghasilkan gambar 3 dimensi yang lebih detail. 22.02.2019 · tetapi penggunaan obat antidepresan harus di bawah pengawasan dokter karena umumnya digunakan untuk mengobati gangguan psikologis seperti depresi. Konsumsi obat antidepresan juga dapat menimbulkan sejumlah efek samping, seperti mengantuk, tidak nyaman pada lambung, tremor, serta sakit kepala. Informasi lengkap dan buat janji di RS Setia Mitra. Biaya from d1ojs48v3n42tp.cloudfront.net 6 obat gatal alami (tradisional) yang bisa dicoba 1. Alat ini sering digunakan di rumah sakit dengan tenaga dokter spesialis yang lengkap. Konsumsi obat antidepresan juga dapat menimbulkan sejumlah efek samping, sepert...
Make A Card For Teacher - 17 Teacher Appreciation Printables Happiness Is Homemade - Perfect for saying thank you to a that special person in your childs life. . 8 picture cards per page. Design custom cards in 5 minutes ➤ hundreds of templates, 2m+ photos, 130+ fonts. Teacher id card templates for ms word.cards are good to use by educational institute, teachers, professors, academic professionals, tutors.editable to the left of the card, a square box is available for the photograph with the perfect placement. Easy and beautiful teacher's day greeting card this video is about teachers day card idea how to make a techers day card diy. Perfect for saying thank you to a that special person in your childs life. Making out with your teacherno, you should not make out with your teacher. While world teacher's day is october 5 the date of teacher's day is different in every country, and many countries have their own traditions connecting to the history of educa...
How To Make A Birthday Card - Cute Diy Birthday Card Ideas That Are Fun And Easy To Make / Our custom online printing services make birthday card printing is a piece of cake. . There are a variety of ways to create your own birthday cards, including designing one using microsoft paint. Blue mountain makes it a snap to personalize a birthday card for him or her. Although the example on the card is for an 80th birthday celebration, you can alter the card for any birthday. Tweak your design with more elements make your card stand out using our design tools. Upload a photo from your personal library to start or use one of our #freetoedit images. This is a great activity for children, so consider letting your child make the card using this simple art program. Just print out the numbers and sentiment using your favorite word processing software. Our custom online printing services make birthday card printing is a piece of cake. Turn the card a mini graphic novel. With a fe...
Komentar
Posting Komentar